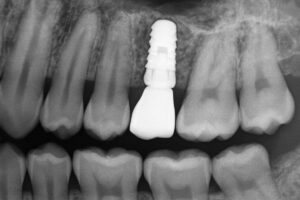
Many patients ask about “popular dental implants” when they need tooth replacement. Popular dental implants are titanium or ceramic posts placed into the jaw to
If you’ve searched “who do dental implants near me” you’re likely wondering whether implants are the right fix for missing or failing teeth. Dental implants
Finding a trustworthy dentist matters for your health, comfort, and confidence. A good dentist helps prevent pain, treats problems early, and saves you money over
If you’re considering full mouth dental implants west plains mo, this guide explains what to expect and who it’s for. You’ll learn what full-arch implant
Tooth implant recovery in Thayer, MO starts with a clear plan and reasonable expectations. Recovery matters because it affects how well the implant bonds to